ÉROSION DENTAIRE

L’érosion dentaire est un problème souvent méconnu mais grave qui résulte de la destruction des différentes couches des dents par des acides d’origine alimentaire ou gastrique.

Des études scientifiques ont montrés que selon l’âge entre 30 et 50% des personnes en Suisse sont affectés par des érosions dentaires.

AvantAprès

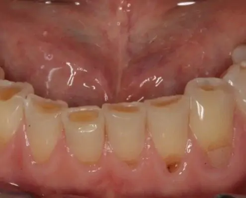
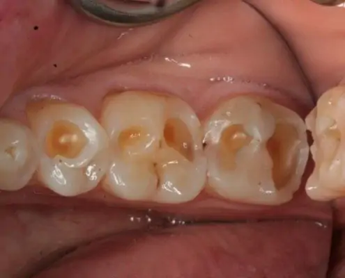
Les Erosions Dentaires, un problème qui reste souvent méconnu

Identifier les signes d’érosion dentaire

Les érosions dentaires peuvent être détectées lors d’un examen dentaire ou d’un détartrage. Des dents jaunies, une sensibilité accrue aux températures chaudes ou froides, ou des douleurs dentaires peuvent être des signes d’érosion dentaire.

Chez D1 Dental Concept

Nos médecins dentistes expérimentés sont spécialisés dans le diagnostic et le traitement des érosions dentaires. Nous utilisons des techniques de dentisterie micro-invasive pour restaurer les lésions tout en préservant au maximum la matière dentaire résiduelle, assurant ainsi des résultats esthétiques et durables.

Comment éviter les érosions dentaires ?

Environ un tiers de la population des pays industrialisés souffre  de reflux gastro œsophagiens.

Ces reflux gastriques passent souvent inaperçus car ils ont lieu pendant le sommeil. La position couchée favorise le reflux.

En cas de symptômes tels que brûlures d’estomac, brûlures dans l’œsophage ou des remontées acides dans la bouche consultez votre médecin pour  un diagnostic par rapport aux reflux gastriques. Il en va de même si vous présentez des vomissements fréquents.

Il faut également consulter un médecin dentiste pour qu’il puisse mettre en place les mesures pour protéger vos dents.

Ce sont principalement les sodas, boissons énergisantes et jus de fruits qui ont un ph très acide et une action de dissolution sur l’émail.

Évitez une consommation trop importante en quantité et en fréquence.

Les agrumes, bien qu’étant des aliments sains, sont acides et une consommation en grande quantité peut avoir un effet d’érosion de l’émail.

Les acides vont déminéraliser et « ramollir » temporairement la couche superficielle de l’émail.  En se brossant les dents tout de suite, cette couche de surface sera abrasée de manière plus importante.

Après la consommation d’un aliment ou d’une boisson acide, après un vomissement ou avoir ressenti un reflux d’acide dans la bouche nous vous conseillons de vous rincer la bouche avec de l’eau et d’attendre 30 à 45 minutes avant de vous brosser les dents.

C’est le temps qu’il faut à la salive pour neutraliser l’acide et reminéraliser  la surface de l’émail.

L’utilisation régulière de produits fluorés, gels ou rinçages de bouche, augmente la minéralisation de l’émail et diminue les effets des acides.

Attention toutefois à utiliser ces produits selon les recommandations des fabricants. Le fluor est toxique en cas d’ingestion excessive.

A un stade peu avancé il suffit généralement d’identifier avec le médecin dentiste la cause précise des érosions et d’y remédier en changeant les habitudes alimentaires et d’hygiène dentaire. Dans les cas de reflux gastriques un examen chez un spécialiste peut être indiqué.

Des produits fluorés spécifiques pour les érosions dentaires permettent de reminéraliser l’email résiduel.

Lorsque l’érosion est plus sévère il peut être indiqué d’effectuer un traitement de restauration  complète qui permet de rétablir l’esthétique et la fonction de mastication de vos dents.

Les médecins dentistes de D1 Dental Concept sont expérimentés dans le diagnostic et le traitement des érosions dentaires.

Nous utilisons particulièrement les dernières techniques de dentisterie micro invasive permettant de restaurer de telles lésions en préservant un maximum de matière dentaire résiduelle.

Reflux gastriques, prise de conscience !

Environ un tiers de la population des pays industrialisés souffre  de reflux gastro œsophagiens.

Ces reflux gastriques passent souvent inaperçus car ils ont lieu pendant le sommeil. La position couchée favorise le reflux.

En cas de symptômes tels que brûlures d’estomac, brûlures dans l’œsophage ou des remontées acides dans la bouche consultez votre médecin pour  un diagnostic par rapport aux reflux gastriques. Il en va de même si vous présentez des vomissements fréquents.

Il faut également consulter un médecin dentiste pour qu’il puisse mettre en place les mesures pour protéger vos dents.

Contrôlez votre consommation de boissons ou d’aliments acides !

 Ce sont principalement les sodas, boissons énergisantes et jus de fruits qui ont un ph très acide et une action de dissolution sur l’émail.

Évitez une consommation trop importante en quantité et en fréquence.

Les agrumes, bien qu’étant des aliments sains, sont acides et une consommation en grande quantité peut avoir un effet d’érosion de l’émail.

Quelles précautions je peux prendre pour diminuer l’effet des acides alimentaires ou gastriques sur mes dents ?

Les acides vont déminéraliser et « ramollir » temporairement la couche superficielle de l’émail.  En se brossant les dents tout de suite, cette couche de surface sera abrasée de manière plus importante.

Après la consommation d’un aliment ou d’une boisson acide, après un vomissement ou avoir ressenti un reflux d’acide dans la bouche nous vous conseillons de vous rincer la bouche avec de l’eau et d’attendre 30 à 45 minutes avant de vous brosser les dents.

C’est le temps qu’il faut à la salive pour neutraliser l’acide et reminéraliser  la surface de l’émail.

L’utilisation régulière de produits fluorés, gels ou rinçages de bouche, augmente la minéralisation de l’émail et diminue les effets des acides.

Attention toutefois à utiliser ces produits selon les recommandations des fabricants. Le fluor est toxique en cas d’ingestion excessive.

Quels traitements pour les érosions dentaires ?

A un stade peu avancé il suffit généralement d’identifier avec le médecin dentiste la cause précise des érosions et d’y remédier en changeant les habitudes alimentaires et d’hygiène dentaire. Dans les cas de reflux gastriques un examen chez un spécialiste peut être indiqué.

Des produits fluorés spécifiques pour les érosions dentaires permettent de reminéraliser l’email résiduel.

Lorsque l’érosion est plus sévère il peut être indiqué d’effectuer un traitement de restauration  complète qui permet de rétablir l’esthétique et la fonction de mastication de vos dents.

Les médecins dentistes de D1 Dental Concept sont expérimentés dans le diagnostic et le traitement des érosions dentaires.

Nous utilisons particulièrement les dernières techniques de dentisterie micro invasive permettant de restaurer de telles lésions en préservant un maximum de matière dentaire résiduelle.

Votre sourire sourire nous tient à cœur !

Découvrez l’excellence dentaire à D1 Dental Concept ! Notre équipe chaleureuse vous attend dans un cadre moderne et confortable, à quelques minutes seulement de Lausanne.

Réservez dès maintenant pour une expérience dentaire exceptionnelle !